60岁阿姨在顺德和平为何选择了“膝关节表面置换”??
对于60岁的中老年女性而言,膝关节健康直接关系到日常生活质量。这位患者因左膝关节骨性关节炎,历经2年病痛折磨与保守治疗反复,最终在顺德和平外科医院选择“膝关节表面置换术”,背后是病情发展的必然与手术疗效的双重考量。
患者的病情具有典型性,属于慢性病程的膝关节骨性关节炎。2年前首次出现左膝关节疼痛,保守治疗虽能暂时缓解,但症状反复不断。

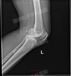
2个月前的意外扭伤,成为病情加重的“导火索”——左膝疼痛加剧,蹲下乏力、上下楼梯困难,日常简单动作都成了负担。门诊DR检查显示,她的左膝关节已出现退行性变、内侧关节间隙变窄,甚至伴随左膝轻度内翻、左下肢较右下肢短约7mm,保守治疗已无法阻止病情进展,也难以改善日益恶化的生活质量,这是她选择手术的核心原因。


在顺德和平外科医院的术前讨论中,多位医师的专业评估进一步坚定了她的选择。俞泉副主任明确手术方式为“左膝人工关节表面置换术”,针对性解决关节退变与力线异常问题。骨一区多为医师均指出,患者年纪较大、疼痛明显且活动受限,保守治疗无效,手术是提升生活质量的关键,同时从安全性角度确认,患者有明确手术指征且无绝对禁忌症,仅需做好术前备血应对术中出血风险,最终,科室领导人吴建伟主任总结,强调手术能让患者术后早期下地行走,同时明确术中需避免血管神经损伤、术后预防感染与深静脉栓塞,全方位保障手术效果与安全。

什么是“膝关节表面置换术”?
膝关节表面置换术,通俗来讲就是 “镶牙”式的换关节。不是换掉整个膝盖:它并非将整个膝关节切除换成假的,而是非常精细地只置换掉被磨损破坏的关节表面(通常是几毫米的厚度)。
“膝关节表面置换术”的独特优势,更是阿姨选择该术式的重要依据。
精准解决病灶,恢复关节功能:手术无需切除整个膝关节,仅对受损的股骨髁、胫骨平台表面进行处理,通过植入4号股骨髁假体、4号胫骨平台假体与6mm厚胫骨垫片,重建关节结构。术中通过骨水泥固定假体,确保假体与骨界面紧密贴合,术后C臂机透视显示假体位置满意,膝关节稳定性与活动度均恢复良好,从根本上解决关节疼痛与活动受限问题。


创伤可控,术后恢复快:患者术中出血仅100ml,远低于传统大手术的出血风险,且术后可早期下地行走。相比保守治疗长期依赖药物、效果反复的困境,手术能快速打破“疼痛-活动减少-关节退变加重”的恶性循环,让她更快回归正常生活。
显著提升生活质量:术前患者因疼痛难以忍受,生活质量严重下降;术后随着关节功能恢复,蹲下、上下楼梯等曾“困难重重”的动作可逐步完成,重新获得行走自由,这正是她最核心的治疗诉求。

本站部分内容来源于网络,转载目的在于传递更多信息,并不代表本网赞同其观点和对其真实性负责,本网站无法鉴别所上传图片或文字的知识版权,如果侵犯,请及时通知我们,本网站将在第一时间及时删除,不承担任何侵权责任。
